
Коррекция сложного прикуса и скученности брекет-системой Damon Q2
Услуга: Брекеты Damon
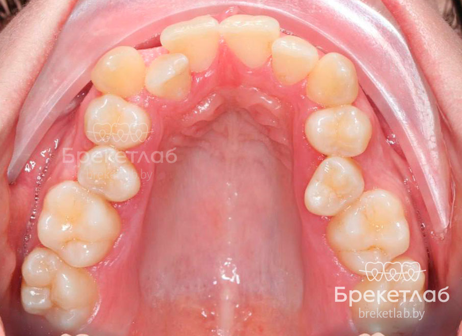
Клинический случай:
Пациентка обратилась с жалобами на неудовлетворительную эстетику улыбки, вызванную выраженной скученностью передних зубов и полным отсутствием места для бокового резца (зуб 22) на верхней челюсти.
Комплексная диагностика (КЛКТ, 3D-фотометрия лица, фотопротокол) выявила комплексную ортодонтическую патологию:
- Сложный прикус: двусторонний буккально-перекрестный прикус со смещением нижней челюсти, сочетание дистального и тенденции к мезиальному соотношению.
- Деформации зубных рядов: сужение и укорочение дуг, скученность резцов на обеих челюстях.
- Эстетико-функциональные нарушения: смещение центральной линии на 3 мм, ротации зубов и патологическая стираемость зуба 22.
Что сделано:
Лечение проводилось командно по четкому двухэтапному плану.
- Этап 1. Ортодонтическая коррекция
Для решения сложной задачи была выбрана современная самолигирующая брекет-система Damon Q2 на обе челюсти. В процессе лечения применялась методика избирательной пришлифовки (сепарации) эмали для создания необходимого пространства в переднем отделе, что позволило избежать удаления зубов. Система эффективно устранила смещение челюсти, выровняла зубные ряды и создала место для отсутствующего зуба.
- Этап 2. Фиксация результата и реставрация
После снятия брекетов для закрепления результата установлены несъемные ретейнеры.
Для восполнения зуба 22 и достижения идеальной эстетики выполнена художественная реставрация стоматологом-терапевтом.
Результат:
В результате проведенного лечения пациентка получила не только здоровую, но и эстетически безупречную улыбку, что вернуло ей уверенность в себе.
Лечение проводили:

Стоматолог-ортодонт:
Дегтерёва И.В.




